If you’re thinking about dental veneers to transform your smile, you’re likely wondering: how long do dental veneers last?
We know it’s natural to have questions or concerns about cosmetic treatments. Veneers offer a beautiful solution for misshapen teeth, stains, gaps, or enamel damage. But like any dental treatment, they come with care considerations and a lifespan. Let’s walk you through what to expect and how to make your veneers last as long as possible.
Key Takeaways
- Porcelain veneers generally last 10 to 15 years.
- Composite resin veneers typically last 5 to 7 years.
- Porcelain veneers offer greater durability and stain resistance than composite resin options.
- Maintaining good dental hygiene and avoiding harmful habits like teeth grinding can extend the life of your veneers.
- Regular dental check-ups are essential to monitor the condition of your veneers and natural teeth.
- Veneers are not permanent, but they can offer long-lasting, natural-looking results.
- The material, lifestyle habits, oral health, and veneer placement technique all impact how long veneers last.
- Replacing veneers may become necessary due to chips, cracks, discoloration, or underlying tooth issues.
Dr. Cheema looks forward to welcoming you to our dental practice in Roseville. We have three other dental offices in California: Yuba City, Sacramento, and Placerville, for your convenience.

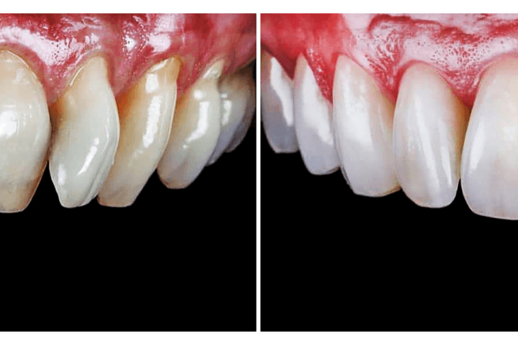
What Are Dental Veneers?
Dental veneers are thin shells that are custom-made to cover the front surface of your teeth. Their primary role in cosmetic dentistry is to hide flaws, improving the shape, size, and color of your natural teeth. Dentists typically craft veneers from two main materials: porcelain or composite resin.
- Porcelain veneers offer a natural appearance, are stain-resistant, and provide long-lasting durability.
- Composite veneers, while more affordable, tend to wear faster and may be more prone to discoloration over time.
Veneers differ from crowns in that their primary purpose is to improve the appearance of teeth. They also only cover the front of the tooth. Dental crowns cover most of a tooth and are used in restoration dentistry, such as for teeth weakened by large cavities. Read this article on Dental Crowns vs Veneers to find out more about the differences.
So, How Long Do Dental Veneers Last?
When you look after them, porcelain veneers typically last 10 to 15 years, sometimes even longer. Composite veneers have a shorter lifespan, generally around five to seven years.
Some patients enjoy their veneers for more than 20 years, especially when they maintain good oral hygiene and avoid damaging habits.
On the flip side, the same issues that affect natural teeth, such as gum disease, teeth grinding, or injury, can impact the average lifespan of composite and porcelain veneers.

Factors That Affect Veneer Lifespan
Several elements influence the durability of your veneers:
1. Material Type
Porcelain is harder and more stain-resistant than composite. For a longer-lasting result and better stain resistance, porcelain veneers generally come out on top.
2. Oral Health & Hygiene
Practicing good oral hygiene – including regular brushing, flossing, and dental checkups – helps prevent issues such as decay and gum disease, which can shorten the lifespan of your veneers.
3. Lifestyle Habits
Habits can affect the lifespan of your veneers:
- Teeth grinding
- Nail biting
- Chewing on hard foods or objects
These habits can cause cracks or chips in veneers, which affect the veneer’s durability. Wear a nightguard if you grind your teeth, and avoid biting hard candies and crunchy foods. Don’t use your teeth to open packages, to protect your veneers.
4. Veneer Placement
The skill of your cosmetic dentist impacts how durable your veneers are. At Paramount Dental, we remove a small amount of enamel from the tooth structure to ensure secure veneer placement. When veneers are bonded precisely, they may last longer.
Are Veneers Permanent?
While veneers aren’t permanent, the procedure to place them is. Your dentist removes a small amount of enamel, so you will always need some form of coverage afterward. But rest assured, with proper care, veneers remain a durable and cost-effective solution for decades.
Tips to Make Your Veneers Last Longer
To help your dental veneers last as long as possible:
- Brush twice daily using a soft-bristled toothbrush
- Floss gently every day
- Avoid red wine, coffee, and tobacco
- Avoid biting very hard or crunchy foods with your dental veneers
- Come in for regular check-ups and dental cleanings
- Use a mouthguard if you grind or play sports.

When Do Veneers Need Replacing?
Even with excellent care, veneers may need replacement if you notice:
- Chips or cracks
- Gum recession
- Discoloration or stains
- Loose or damaged bonding
The health of the tooth underneath can also be a factor. If decay develops, your dentist may need to remove and replace the veneer after treatment.
Frequently Asked Questions
What Do Veneers Look Like After 10 Years?
Veneers can still look natural and bright after 10 years if you look after them. However, they may show signs of minor wear or discoloration, especially if you eat stain-causing foods or beverages. Composite veneers are more likely to look dull or stained compared to porcelain.
How Long Do Dental Veneers Last on Front Teeth?
Your front teeth experience less chewing pressure than your molars, so veneers placed on them often last longer. Porcelain veneers on front teeth can last 10 to 15 years or more, while composite veneers may last five to seven years, depending on care and lifestyle habits.
How Long Do Veneers Take to Put On?
The process of getting porcelain veneers usually takes two to three visits over a few weeks. The first visit includes a consultation and preparation, where the dentist removes a small amount of enamel. In the second visit, your dentist bonds the veneers to your teeth. In some cases, a third visit may be needed for follow-up adjustments to ensure a perfect fit and comfort. Composite veneers can often be fitted in a single visit.
Your Smile, Designed to Last
At Paramount Dental, our mission is to help you feel confident and comfortable throughout your treatment. From consultation to placement, we prioritize your comfort and oral health.
Dental veneers are a step toward a more confident you. When they are fitted by an experienced dentist, porcelain veneers may last for decades.
Please contact our office to discuss any cosmetic concerns or to book an appointment. We look forward to welcoming you.
References
- American Dental Association. (n.d.). Veneers. MouthHealthy.
- Scheindentalnc. (2025). Everything You Need to Know About Dental Veneers.
- Genesispub. (2024). Longevity of Porcelain Veneers: A Comprehensive Review.
- PMC. (2024). Clinical Survival Rate and Laboratory Failure of Dental Veneers.
